top of page
Sem Título.png

Casos Clínicos

diferen%C3%A7a_branqfred1_edited.jpg

Branqueamento dentário

Branqueamento em ambulatório com moldeiras personalizadas e gel de peróxido de carbamida.

Antes e depois.

elvira r fonseca.jpg

Tratamento realizado pela Dra. Elvira Rodrigues da Fonseca

Sem Título79.jpg

Prótese acrílica removível

Prótese acrílica removível imediata superior.

Antes e depois.

elvira r fonseca.jpg

Tratamento realizado pela Dra. Elvira Rodrigues da Fonseca

miguel1.png

Endodontia Mecanizada

Endodontia mecanizada em sessão única do dente 47.

Antes e depois.

avatar2.png

Tratamento realizado pelo Dr. Miguel Coelho

Sem Título 11111111.jpg

Restauração dentária

Restauração direta definitiva em resina composta do dente 21.

Antes e depois.

elvira r fonseca.jpg

Tratamento realizado pela Dra. Elvira Rodrigues da Fonseca

noemia caso clinico.jpg

Reabilitação total

Reabilitação total com implantes dentários e dentes fixos no mesmo dia.

Antes e depois.

icon%20med_edited.jpg

Tratamento realizado pela Dra. Noémia Mota

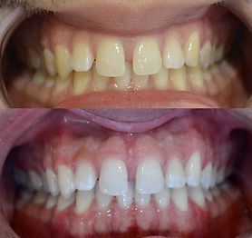
antes depois manuel.jpg

Branqueamento dentário

Branqueamento em ambulatório com moldeiras personalizadas e gel de peróxido de carbamida.

Antes e depois.

elvira r fonseca.jpg

Tratamento realizado pela Dra. Elvira Rodrigues da Fonseca

IMG_7717.PNG

Implante Unitário

Implante dentário do dente 46 com coroa cerâmica aparafusada.

icon%20med_edited.jpg

Tratamento realizado pela Dra. Noémia Mota

bottom of page